All-on-4 Dental Implants London
A fixed solution for patients missing most or all teeth in one arch. Our South Kensington clinic serves patients across London, providing personalised All-on-4 treatment plans tailored to individual clinical needs.
Suitability is determined following consultation · Results vary between individuals
Replacing a Full Arch of Teeth with Just Four Implants
All-on-4 dental implants offer a structured approach for patients who have lost most or all of their teeth in the upper or lower jaw. Designed as a fixed alternative to removable dentures, this treatment uses four strategically placed implants to support a complete arch of replacement teeth.
At our South Kensington clinic, we welcome patients from across London seeking a carefully planned, clinician-led approach to full-arch tooth replacement. Every treatment plan is developed following a thorough clinical assessment to determine suitability.
What Are All-on-4 Dental Implants?
All-on-4 is a treatment concept in which four dental implants are placed in the jawbone to support a full arch of fixed replacement teeth. Two implants are typically positioned vertically at the front of the jaw, while two are placed at an angle towards the back. This angulated placement is designed to take advantage of the available bone structure.
The treatment is intended for patients experiencing extensive tooth loss in one or both arches. Rather than replacing each missing tooth individually, All-on-4 provides a comprehensive restoration using fewer implants. This may also reduce the overall treatment complexity in appropriate cases.
Suitability for All-on-4 treatment is assessed on an individual basis during a clinical consultation. Your clinician will evaluate your oral health, bone quality, and medical history before recommending a treatment approach.
How Are All-on-4 Implants Different from Traditional Dental Implants?
Understanding the distinction between All-on-4 and traditional dental implants can help patients make informed decisions about their care. Both approaches use dental implants, but they differ in scope and application. For example, a single tooth implant is designed to replace an individual missing tooth, whereas All-on-4 addresses the entire arch.
Traditional Dental Implants
- Typically used to replace one or a small number of missing teeth
- Each implant supports an individual crown or a short bridge
- Multiple implants may be needed across the arch
- Suitable for patients with localised tooth loss
All-on-4 Dental Implants
- Designed for patients missing most or all teeth in one arch
- Four implants support a complete fixed arch of teeth
- Angled posterior implants may maximise use of available bone
- Intended as a full-arch rehabilitation approach
The choice between traditional implants and All-on-4 depends on your individual clinical circumstances. Your clinician will recommend the most appropriate treatment following a thorough assessment.
Benefits of All-on-4 Dental Implants
All-on-4 treatment offers a number of potential benefits for patients with extensive tooth loss. As with all dental treatments, individual outcomes may vary.
Fixed Alternative to Removable Dentures
All-on-4 provides teeth that are secured to the jawbone, removing the need for removable dentures and adhesives.
Improved Stability
Because the teeth are fixed to implants, they are designed to offer greater stability compared to removable options during everyday activities.
Designed to Support Chewing Function
Fixed teeth on four implants are intended to restore chewing ability, allowing patients to eat a wider range of foods with greater confidence.
May Improve Confidence
Many patients report increased confidence in daily activities such as eating, speaking, and socialising, though experiences vary between individuals.
Structured Full-Arch Solution
All-on-4 provides a well-established framework for addressing extensive tooth loss in one or both arches using just four implants per arch.
Potentially Fewer Surgical Procedures
The angled implant placement may reduce the need for supplementary procedures such as bone grafting in some patients, although this is assessed on an individual basis.
Results vary between individuals. The benefits described above are potential outcomes and are not guaranteed. Your clinician will discuss realistic expectations during your consultation.
Who Is Suitable for All-on-4?
All-on-4 treatment may be appropriate for patients who are experiencing significant tooth loss or struggling with conventional denture options. For patients who require added stability but may not need a full fixed arch, implant-retained dentures may also be considered. Suitability for any approach is determined following a clinical assessment. Patients who may benefit from All-on-4 include those who:
- Are missing most or all teeth in one or both arches
- Experience ongoing difficulties with removable dentures
- Have failing teeth or deteriorating full-arch restorations
- Are seeking a fixed alternative to conventional dentures
- Have sufficient bone volume or structure to support implant placement
Important Information
Suitability for All-on-4 treatment is determined following a comprehensive clinical consultation. This includes a review of your medical history, an assessment of your jawbone structure, and a discussion about your treatment goals.
Certain medical conditions, medications, or lifestyle factors may affect your suitability. Patients experiencing loose dentures or bone loss in the jaw are encouraged to discuss these concerns during their assessment. Your clinician will provide honest, individualised guidance.
We encourage patients to attend a consultation before making any treatment decisions.
The All-on-4 Treatment Process
Treatment is delivered in carefully planned stages. Your clinician will guide you through each step, ensuring you are fully informed and comfortable throughout.
Consultation and Assessment
Your journey begins with a thorough clinical assessment, including diagnostic imaging to evaluate your jawbone structure. Your clinician will discuss your dental history, current concerns, and treatment goals. This appointment is an opportunity to ask questions and understand whether All-on-4 is appropriate for your situation.
Treatment Planning
If All-on-4 is deemed suitable, your clinician will develop a detailed treatment plan. This includes the precise positioning of each implant, a timeline for your treatment, and a comprehensive overview of costs. Planning is carried out meticulously to support predictable outcomes.
Implant Placement
The four implants are placed into the jawbone during a surgical procedure carried out under local anaesthetic. Sedation options are available for anxious patients. In some cases, a provisional set of fixed teeth may be attached on the same day, though this depends on clinical factors specific to your case.
Healing Phase
A period of healing follows implant placement, during which the implants integrate with the surrounding bone. This phase typically lasts between three and six months, though timelines vary between individuals. Your clinician will monitor your progress with scheduled review appointments.
Final Fixed Restoration
Once healing is satisfactorily complete, your final fixed arch of teeth is fabricated and fitted. This restoration is designed to look, feel, and function as naturally as possible. Your clinician will ensure the fit, bite, and aesthetics are carefully refined before final placement.
Timelines are indicative and may vary depending on individual clinical circumstances. Your clinician will provide a realistic schedule during your consultation.
All-on-4 Price in London
The cost of All-on-4 dental implants in London depends on several factors, and providing a single fixed price without a clinical assessment would not be appropriate. We believe in transparent, honest pricing that reflects the true scope of your individual treatment.
Factors that may influence the cost of your All-on-4 treatment include:
- Whether the upper arch, lower arch, or both arches are being treated
- The current condition of any remaining teeth and whether extractions are required
- Whether any preparatory procedures, such as bone augmentation, are necessary
- The materials selected for your final restoration
- The complexity of your individual case
It is also important to consider the long-term costs associated with maintaining your implants, including regular hygiene appointments and periodic reviews. These ongoing costs form part of the overall investment in your oral health. For a broader overview of implant treatment costs, please visit our dedicated pricing page.
We recommend attending a consultation to receive a detailed, personalised quotation. Finance options may be available to help manage the cost of treatment, subject to status.
All-on-4 vs Removable Dentures
Both All-on-4 implants and traditional dentures serve as options for replacing missing teeth. The most suitable choice depends on your clinical circumstances, preferences, and lifestyle considerations.
| Consideration | All-on-4 Implants | Removable Dentures |
|---|---|---|
| Stability | Fixed to implants in the jawbone; designed not to move during use | Rest on the gums; may move or require adhesive for improved retention |
| Comfort | Generally reported as more comfortable once healed; feel closer to natural teeth | May cause gum irritation or soreness; require periodic adjustment |
| Maintenance | Cleaned in the mouth; requires regular professional hygiene appointments | Removed for cleaning; may need relining or replacement over time |
| Suitability | Requires adequate bone structure and a clinical assessment; not suitable for everyone | Generally suitable for most patients with missing teeth |
| Long-term considerations | May help preserve jawbone structure; designed for longevity with proper care | Bone resorption may occur over time, potentially affecting fit and facial structure |
This comparison is provided for educational purposes. The most appropriate treatment will be recommended by your clinician following an individual assessment.
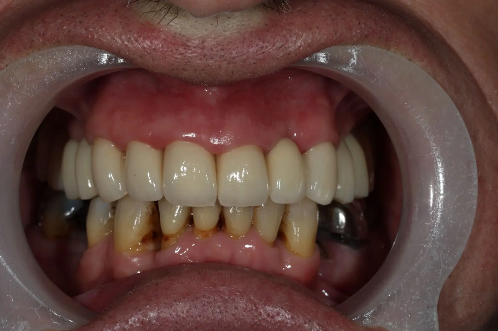
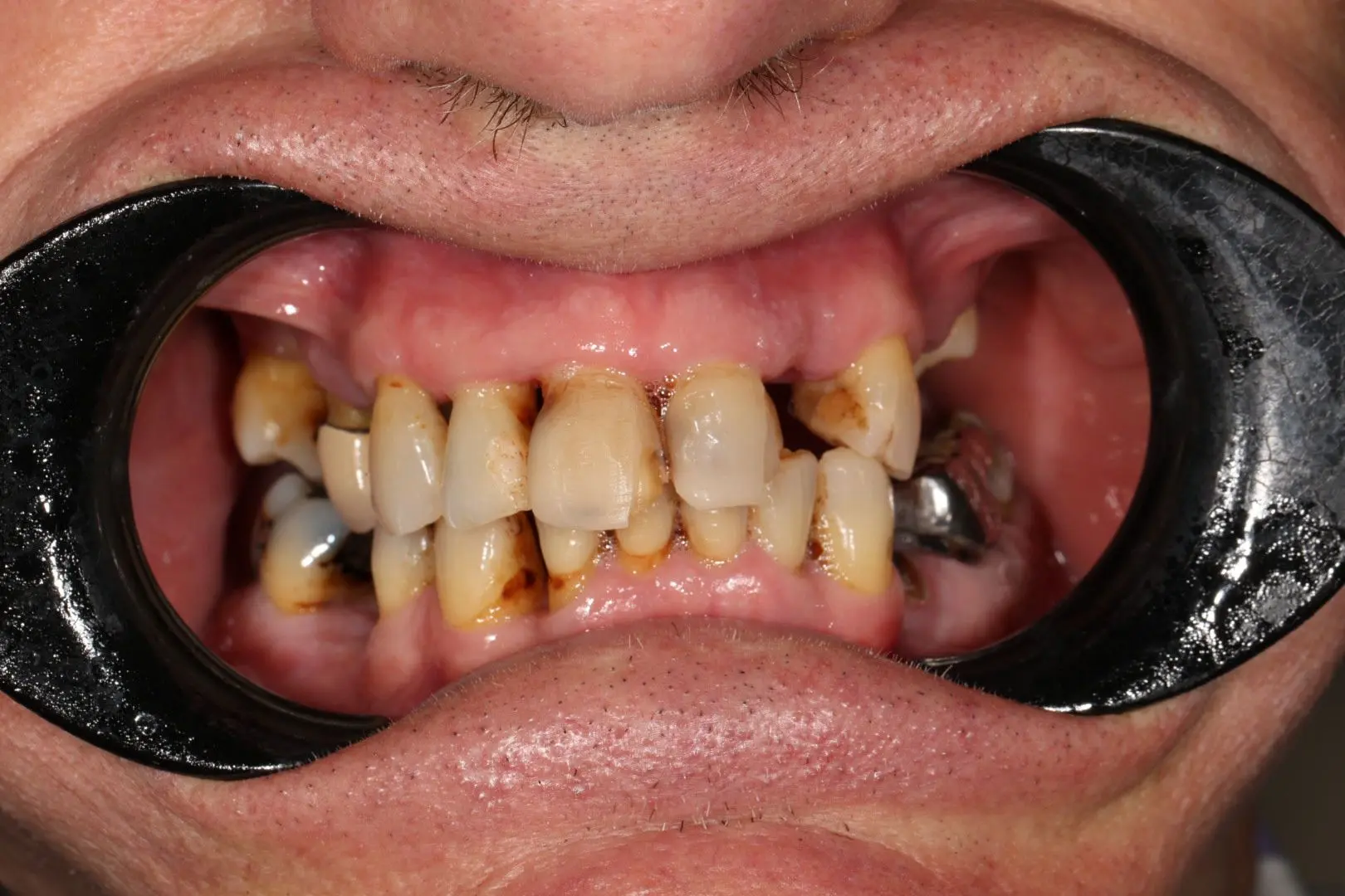
All-on-4 Case Examples
Below are examples of All-on-4 treatments carried out at our clinic. All images are published with full patient consent.
Results vary between individuals. These cases are provided for illustrative purposes and do not represent a guarantee of similar outcomes.
Before & After
DragSwipe to compare results


Individual results may vary. Treatment by Dr Andreia.
Before & After
DragSwipe to compare results


Individual results may vary. Treatment by Dr Andreia.
Cases treated by Dr. Andreia Phipps
Why Choose Our South Kensington Clinic
Our clinic in South Kensington provides All-on-4 treatment within a well-established, regulated practice. We are committed to clear communication, personalised care, and long-term support for our patients.
Central London Location
Based in South Kensington with excellent transport links, serving patients from across Greater London. Just two minutes from South Kensington Underground station.
Experienced Clinicians
Our team includes clinicians with extensive experience in implant dentistry and full-arch rehabilitation. All practitioners are registered with the General Dental Council.
Regulated Practice
We are registered with the Care Quality Commission (CQC) and adhere to the standards set by the General Dental Council (GDC) and Advertising Standards Authority (ASA).
Clear Communication
We take time to explain your treatment options, expected outcomes, and costs clearly. We encourage questions and ensure you feel fully informed before proceeding.
Personalised Treatment Planning
Every All-on-4 treatment plan is developed individually, based on your clinical assessment, goals, and circumstances. We do not take a one-size-fits-all approach.
Long-term Care Approach
Our commitment extends beyond the treatment itself. We provide ongoing maintenance, hygiene support, and reviews to help protect your investment in your oral health.
Areas We Serve
Our clinic is based in South Kensington, with convenient access from across Greater London. We welcome patients from the following areas and beyond.
Find out more about reaching our South Kensington clinic from your area, including transport links and directions.
Frequently Asked Questions
Answers to common questions about All-on-4 dental implants at our London clinic.
Considering All-on-4 Dental Implants?
Book a consultation at our South Kensington clinic. Your clinician will assess your suitability, discuss your options, and provide a personalised treatment plan. You can also contact our team to discuss your circumstances before attending.
Suitability is determined following consultation. Results vary between individuals.