
How to Choose the Right Implant Dentist in London
Written By
Dental Implants Team
Dental implants have revolutionized the way we approach missing teeth. For decades, patients had to rely on uncomfortable dentures or destructive bridges. Today, we can offer a long-lasting solution that mimics nature in every way.
Understanding the Basics
At its core, a dental implant is a titanium post that replaces the root of a missing tooth. It is surgically placed into the jawbone, where it fuses with the bone in a process called osseointegration. This provides a stable foundation for a crown, bridge, or denture.
Why Choose Implants?
- Preserves natural tooth structure (no need to grind down adjacent teeth)
- Helps prevent bone loss and facial changes
- Restores strong chewing function
- Long-lasting solution with proper care
Many patients worry about the cost or the surgery itself. However, with modern techniques like computer-guided surgery and sedation, the process is far more comfortable and predictable than ever before. The long-term value often outweighs the initial investment when you consider the recurring costs of denture maintenance or bridge replacements.
Interested in this treatment?
Our highly experienced dentists are ready to help you achieve the smile you deserve.
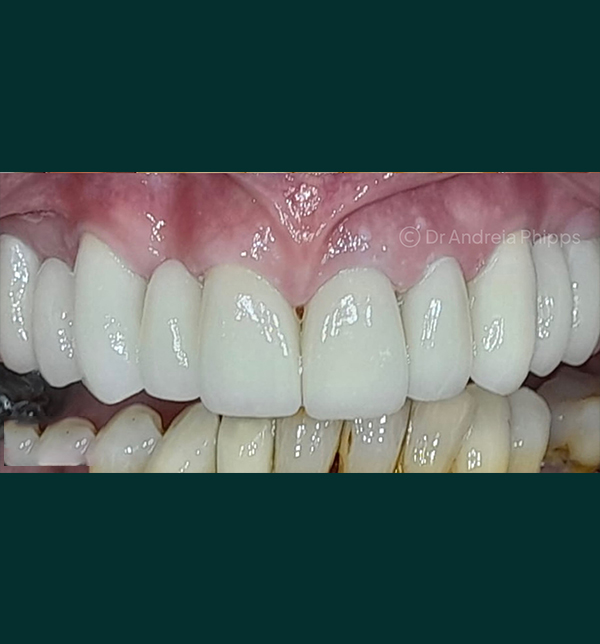
Real Results
Don't just take our word for it. See the transformation for yourself. Below is a case study of a patient who faced similar challenges.
Before
AfterEmergency Chipped Tooth Repair
Every smile is unique, and so is every treatment plan. At Dental Implants London, we pride ourselves on bespoke care tailored to your specific anatomical and lifestyle needs.
Share this article
Trending Topics
Ready to transform your smile?
Book a consultation with our experienced team today and take the first step towards a long-lasting solution.